Ciudad de México, 5 de abril de 2024.- En el Instituto de Seguridad y Servicios Sociales de los Trabajadores del Estado (Issste) se cuenta con todas las opciones terapéuticas disponibles para diagnosticar oportunamente el cáncer de pulmón, así como con infraestructura innovadora y especialistas altamente capacitados para un procedimiento integral.
En el marco del Día Nacional del Cáncer de Pulmón, que se conmemora hoy, la Jefatura de Neumología e Inhaloterapia del Hospital Regional “Lic. Adolfo López Mateos” destacó que personas expertas en neumología, cirugía de tórax, oncología médica y quirúrgica, radiología y patología del Issste se reunirán con el objetivo de dialogar sobre el mejor diagnóstico para potenciar el tratamiento oportuno y eficaz.
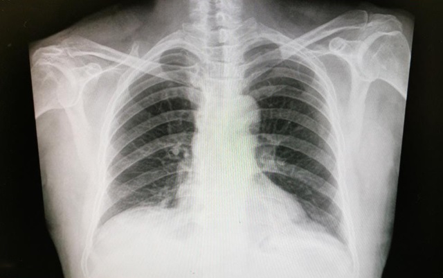
Para ello, se requiere una correcta historia clínica. En el organismo, el primer contacto se hace con medicina familiar y después en neumología se pueden solicitar estudios de imagen (tomografía contrastada) donde se ve el tamaño y extensión de la lesión, explicó.
De acuerdo con el especialista, se pueden indicar estudios como radiografía de tórax, tomografías computarizadas e imágenes de resonancia magnética para identificar el interior de los pulmones; sin embargo, para detectar mutaciones genéticas e identificar el tipo de cáncer que se está desarrollando se analizan muestras del tejido pulmonar para evaluar la opción terapéutica más conveniente.
En el instituto se realizan todo tipo de tratamientos como: cirugías, quimioterapias, radioterapias o una combinación de éstas, y cuando se detectan mutaciones genéticas de células cancerosas en pulmón existe la terapia biológica dirigida (inmunoterapia,) que mejora el sistema inmunitario y ayuda al cuerpo a disminuir la proliferación de células patógenas, añadió.
Explicó que el cáncer de pulmón es una enfermedad provocada por tabaquismo, inhalación de humo y polvos tóxicos que, en etapas iniciales, no genera síntomas, lo que provoca estadios más avanzados que comprometen el estado de salud e incrementan la mortalidad en la población.
Se caracteriza por una formación patológica de células de los tejidos que recubren los conductos de aire que, al multiplicarse descontroladamente, tienen la capacidad de dañarlos y diseminarse a otras zonas del cuerpo (metástasis).
De acuerdo con datos de la Secretaría de Salud, en 2020 se diagnosticaron en México siete mil 500 nuevos casos de cáncer de pulmón, la mitad en estados clínicos avanzados, lo que representa alta probabilidad de mortalidad, sobre todo en varones mayores de 50 años https://goo.su/EeJIe0i.
El especialista del Issste mencionó que existen dos grupos de esta patología: el cáncer de pulmón microcítico (células pequeñas), que suele ser más agresivo por su avance rápido y de fácil diseminación; y el no microcítico (células no pequeñas), que representa entre 80 y 85 por ciento de los casos.
Si bien en etapas tempranas no se desarrollan síntomas, conforme evoluciona puede generarse tos persistente (algunas veces acompañada con sangre), dolor torácico, sonido involuntario en la respiración o dificultad respiratoria (disnea). En estados más avanzados, cansancio o debilidad, problemas para tragar, malestar en los huesos y dolor de cabeza son síntomas que no deben subestimarse, sobre todo si existen factores de riesgo.
Resaltó que el índice tabáquico se refiere al impacto que tiene el tabaquismo en el desarrollo de la enfermedad, pues el consumo de cigarros con filtro requiere inhalación más profunda, que propicia una afección más periférica.
Puntualizó que estar expuesto a polvos inorgánicos como asbesto o sílice (presente en productos como ladrillos, vidrio, cerámica, yeso, granito concreto o limpiadores), potencializa la presencia de esta patología.
La exposición al humo de leña, carbón o petróleo por 100 horas al año aumenta el riesgo; asimismo, vivir en ciudades con contaminación atmosférica y con enfermedades pulmonares crónicas previas. Por ello, como acto preventivo para un diagnóstico temprano se recomienda un estudio de espirometría para evaluar la función pulmonar y descartar padecimientos mayores, concluyó.

























